郑州痛风风湿病医院:腰部酸胀四年,经我院治疗后出院
该患者朋友相关情况,由主治医生助理跟踪记录,内容属实
任何同行与机构未经本人同意,不得转载
===================================
患者姓名:陈女士 年龄:33岁 病种:未分化性脊柱炎 病史:4年
陈女士病情描述:
陈女士伴有腰部酸胀不适4年,未经明确检查,在当地诊所口服中药,前期疼痛有所减轻,但随病程加长,病情不断加重,中药无法缓解疼痛。尝试针灸治疗后效果不明显,腰部酸胀持续。较近因左右双肩胛内侧肿胀感明显,胸骨疼痛难忍。在四川某骨科医院诊断无果,后在朋友推荐下来到我院。由我院主治医生接诊,经检查诊断为未分化性脊柱炎,给予治疗后现已治疗出院。
医生详细检查结果:
HD-热层析检测:全身关节处的血管充盈状况存在异常,肩关节内、胸椎关节肉芽组织增生明显,关节病变程序加深,病情发展逐步向脊柱关节延伸。
常规检查:血沉21mm/h、C-反应蛋白4.1mg/L、类风湿因子19.8IU/ml、抗“O”214u/ml,左右双肩胛内侧肿胀感明显,胸骨疼痛剧烈。胳膊屈伸、抬起吃力。
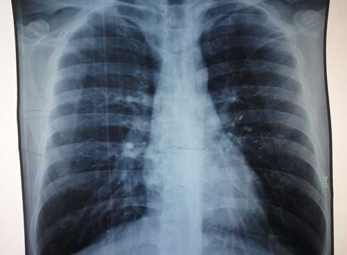
X线片示:双肩关节间隙狭窄,骨质受损,胸锁处有异常凸起。

(图:陈女士X线片显示胸锁部位有异常凸起,按压疼痛)
根据患者检查结果,主治医生初步诊断陈女士为脊柱炎,为更精 定疾病及病情。主治医生为她采用微循环检测,经观察发现,陈女士全身关节处的血管充盈状况存在异常,肩关节内肉芽组织增生明显,关节病变程序加深,病情发展逐步向脊柱关节延伸。经检查确诊为未分化性脊柱炎。
陈女士接受治疗经过:
主治医生检查诊断陈女士的疾病现处于早期,但已开始有中期发展的趋势。为迅速控制病情发展, 恢复关节功能,张政主任为陈女士采用治疗。
采用疗法治疗当天,陈女士字数肩关节疼痛症状有些减轻,活动起来没有之前那么费力。同时,主治医生为陈女士安排微针介入治疗,使免疫调节药剂通过射流的方式直接进入病变关节处皮肤基底层,从而控制关节炎症发展,阻止骨质继续受损,更好改善活动能力。
经过两个疗程治疗,主治医生为陈女士检查时显示,陈女士肩关节、肘关节疼痛消失,活动灵活,抬举轻松,持物不费力。脊柱关节未见骨质受损,弯腰活动自如。测定血沉17.5mm/h、C-反应蛋白4.0mg/L、类风湿因子18IU/ml、抗“O”184u/ml。主治医生诊断分析陈女士已达到临床 标准,准予出院。

(图:主治医生检查后诊断陈女士已治疗,由医护人员为陈女士办理出院)
主治医生提醒患者:
关节疼痛、肿胀不是小问题,患者需要提高警惕。在寒冷、潮湿季节,患者应该注意防范症状反复,尤其是现在步入冬季,天气转冷,患者更应做好保护措施。在临床工作中有些患者症状不典型,一些化验的结果也不支持,所以一些非专科医院的医生很难做出 的诊断 ,很多的患者也因此错过了较佳的治疗时机 ,建议早发现早治疗。
文章部分文字、图片、数据、视频等内容信息来源于互联网,版权归原作者所有,如有侵权请立即联系删除。



