六旬老人听信虚假广告病情加重,终在我院康复
来自开封市龙亭区的65岁的唐大爷是一位慈祥和蔼的老人,来到我院(郑州痛风风湿病医院)后,家人叙述到本是该安享晚年的时候,却被痛风性关节炎缠绕多年。唐大爷难以接受这样的遭遇,他期间服用过多种药物都没有得到根治,病情反反复复。后来到我院,在主治医生的治疗下得到 。
该患者的相关情况,由主治医生助理跟踪记录,内容属实
任何同行与机构未经本人同意,不得转载
==================================
患者姓名:唐大爷 (化名) 年龄:65岁
所患疾病:痛风 病史:10年

(图:唐大爷来院接受主治医生看诊)

(图:唐大爷来院检查X光显示双脚关节变形且伴有痛风石)
患者病情:
唐大爷手脚关节变形十年,两年前被当地医院诊断为痛风性关节炎。唐大爷之前只发现手指关节轻微变形以为没有什么大问题,没有得到重视,导致病情恶化关节开始出现僵硬胀痛,并伴有痛风石。唐大爷在发现得痛风性关节炎后,间断性口服用秋水仙碱、双氯芬酸钠等药物,病情暂时缓解但效果不佳。曾轻信虚假广告私自服用民间某种高昂“神药”,花了大量金钱,关节疼痛越来越明显,病情未得到根治,后慕名来到我院接受治疗。

(图:唐大爷双手指远端关节轻微变形)
检查结果:
体查:唐大爷手脚关节变形,双手关节红肿,双脚有痛风石。
实验室检查:尿酸检查为500umol/l 明显高于正常水平;C-反应蛋白34.28mg/L。
X线检查:手足小关节尤其是第一跖趾关节的骨质破坏缺损、关节间隙狭窄、软组织偏心性肿胀。
关节液镜检查:有尿酸盐结晶。
治疗前专家会诊分析:
主治医生确诊唐大爷患有痛风性关节炎,并联合京广沪豫专家会诊决定对其进行针对性和综合性系统治疗。考虑到唐大爷年事已高病史长,来院治疗前对一些药物已经产生抗体,为避免重复使用药物而增加用药毒性,主治医生通过药敏分析仪对其进行身体检查,为唐大爷选择适合他病情的药物,并把毒性伤害降到最低。
治疗过程:
根据会诊结果,主治医生为唐大爷制定了三个疗程的治疗,控制病情发展。用HD-热层析检测系统分析出患者唐大爷双手指关节炎性症状明显,并有扩张趋势,需及时消除炎症。
主治医生采取个性化诊疗方案,决定为唐大爷实行中医微创可视针刀镜技术治疗,快速消除关节疼痛,改善生活质量。主治医生还辅以多种巩固治疗方法,用中药熏蒸理疗仪为唐大爷受损关节配制中药药液加温为中药蒸汽,对患部进行直接熏蒸,疏通经络、调和气血、使肌体内毒外出,最终达到 疾病的目的。同时通过IA免疫吸附技术清除了唐大爷血液中的致炎因子和血液循环中的致病物, 控制了痛风的反复发作。

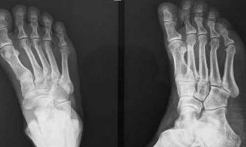
(图:唐大爷治疗后X光检查脚趾关节变形已矫正,痛风石已消除)
结果:
在主治医生的治疗下,唐大爷血尿酸检查300umol/l ,已经恢复正常水平。手脚开始活动自如,可以正常生活,双手已经可以正常活动,关节形状恢复正常,手指僵硬胀痛反应也已消除,病情得到 。主治医生嘱咐唐大爷注意正常生活作息,维持体内尿酸平衡。
主治医生诊断意见:
传统的药物治疗具有单一性,没有科学系统的治疗方案,效果往往不明显。唐大爷多年来仅服用药物治疗痛风,没有接受正规的治疗,导致病情加重。同时建议患者不要 轻信各种民间偏方,既损失金钱且延误病情,应该选择规范治疗。
文章部分文字、图片、数据、视频等内容信息来源于互联网,版权归原作者所有,如有侵权请立即联系删除。



