药物治疗强直效果不佳,科学规范治疗终止病痛
两年前,蔡先生开始感到腰骶部疼痛,后来疼痛加剧,膝、肘关节开始疼痛。疼痛难忍之下,他去当地医院检查时,被诊断为强直性脊柱炎,之后一直靠药物治疗,但是没有什么效果。直到2017年蔡先生来到郑州痛风风湿病医院,杜爱华医生使用“中医微创可视针刀镜技术”为其治疗,他渐渐的走向 。
该患者朋友相关情况,本院已严格审核,属于真实
现经患者本人同意予以公开,给其他患者提供参考
任何同行与机构未经患者本人同意,不得转载
=====================================================
患者相关信息:
姓名:蔡先生
年龄:27岁
病龄:强直性脊柱炎2年
使用疗法:中医微创可视针刀镜技术+免疫吸附治疗
主治医生:杜爱华医生
患上强直,药物治疗没能让他恢复健康
蔡先生于2016年3月,突发下腰部疼痛,伴体温升高,就诊于当地医院,化验血常规白细胞升高,未予明确诊断,给予头孢类抗生素,但是效果不佳,仍间断发热。
大约在2017年7月份,蔡先生的左膝关节肿胀、疼痛,在当地检查时,他被告知是强直性脊柱炎。蔡先生在医生的指导下服用强的松、甲氨蝶呤等止痛药物进行治疗,但是令人失望的是,药物治疗并没有明显的效果。
在这两年的时间里,蔡先生的病情逐渐加重,出来疼痛会加重和蔓延到颈椎等关节,背越来越弯,平时挺腰直背、弯腰也非常困难。在2017年5月份,蔡先生在朋友的介绍下,来带郑州痛风风湿病医院接受治疗。

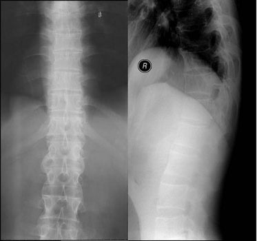
(图:蔡先生的CT检查显示,脊柱弯曲,关节间隙变窄)
科学疗法让他看到 的希望
因为是提前电话预约,蔡先生来到医院时,很快的就与杜爱华医生见面。见到“驼背”的蔡先生,杜爱华医生在询问相关的情况后,立即为他做全面的检查。
医学辅助检查:血常规:白细胞(WBC)7.2X109/L 血红蛋白(Hb)130g/L 血小板(PLT)321X109/L 血沉(ESR)98mm/h C反应蛋白(CRP)34mg/L 免疫球蛋白 IgG 18.83g/L,尿常规尿潜血(BLD)(±);肝功能、肾功能、电解质均正常,CT检查:脊柱关节面有虫蚀样破坏,模糊,脊柱弯曲,关节间隙变窄。

(图:蔡先生稍弯腰即感到疼痛)
杜爱华医生说,蔡先生的病情还不太严重,如果他一直没有得到 的治疗,腰背不仅弯曲、驼背,最后有可能会导致残疾,无法正常活动。杜爱华医生建议蔡先生使用现在众多强直患者选择的“中医微创可视针刀镜技术”进行治疗,这种疗法能快速消除炎症,对抗与阻断风湿因子作用,及时修复受损细胞,能够消除骨质粘连,矫正关节。蔡先生对这种科学的治疗方式抱有很大的希望,期盼能够彻底 自己,回到正常生活当中。
经过系列的治疗,他正逐步的恢复健康当中
经过一个疗程的治疗后,蔡先生的症状有所减轻,关节疼痛较前有所好转,并且可以尝试下蹲,背部也可以稍微活动。杜爱华医生观察蔡先生的治疗情况后,建议他再进行两个疗程的治疗,相信很快就能恢复健康。
第二个疗程的治疗后,蔡先生可以慢慢的伸直腰背,在杜爱华医生的指导下,可以做些体育活动,复查血沉、C反应蛋白、免疫球蛋白、血小板基本恢复正常。
蔡先生正在接受第三个疗程的治疗,我们也将继续关注他的恢复情况,希望患有强直性脊柱炎的患者朋友早日摆脱病痛,及早回到健康生活。
2018年8月份,蔡先生来院复诊,检查完毕后显示身体各项指标正常,患者高兴的说,这几个月来病情恢复迅速,病情没有复发,没有什么能表达自己的感谢之情,只能用一面锦旗来表达对杜爱华医生的感谢!
文章部分文字、图片、数据、视频等内容信息来源于互联网,版权归原作者所有,如有侵权请立即联系删除。



